Full Mouth Rejuvenation

Embark on a journey to restored health and an enhanced smile.
Our patients is happily smiling

What is a
Full Mouth Rejuvenation ?

Blending science and art for a lifetime of smiles.

For many reasons we may find ourselves in a situation of severe need for comprehensive full mouth restoration. Due to various reasons our teeth and mouth may be failing extensively and treating one area or even just one arch will not resolve the problem. This is when Full Mouth Rejuvenation is recommended.

For clarification, Full Mouth Rejuvenation does not mean surgery. It is a non-surgical, comprehensive approach to getting the upper and lower jaws in proper alignment removing all decay and repairing all fractured, weakened and severely worn teeth. There is no guesswork when providing the patient with such comprehensive treatment.

Dr Schindler will perform a comprehensive examination and provide a detailed treatment plan specific to your needs and goals outlining the process, procedure and investment for getting your teeth and mouth to optimal health, beauty and function. Read More

For many reasons we may find ourselves in a situation of severe need for comprehensive full mouth restoration. Due to various reasons our teeth and mouth may be failing extensively and treating one area or even just one arch will not resolve the problem. This is when Full Mouth Rejuvenation is recommended. For clarification, Full Mouth Rejuvenation does not mean surgery. It is a non-surgical, comprehensive approach to getting the upper and lower jaws in proper alignment removing all decay and repairing all fractured, weakened and severely worn teeth. There is no guesswork when providing the patient with such comprehensive treatment. Dr Schindler will perform a comprehensive examination and provide a detailed treatment plan specific to your needs and goals outlining the process, procedure and investment for getting your teeth and mouth to optimal health, beauty and function.

As we age our teeth age. With every decade of use our teeth age worse with thinning and wearing enamel. In addition, recession and decay increase as well with age. Younger individuals can show extensive signs of wear and change in teeth as well from bruxism (grinding teeth at night). With excessive wear and changes to the teeth, our occlusion (how our teeth come together) is adversely affected, causing a collapsed bite & various painful TMJ symptoms. Severely worn-down teeth cause an over-closed bite which decreases the distance between the nose and chin causing the lower third of the face to appear shrunken, tense and aged. Full Mouth Rejuvenation is performed to treat and restore your teeth and occlusion to their natural and original healthy state.

Dr. Schindler works non-surgically and utilizes a neuromuscular approach to find the most comfortable position for the muscles of mastication. Dr. Schindler then meticulously restores your teeth to the new occlusion with beautiful and aesthetic porcelain onlays, veneers or crowns. Dr. Schindler uses the most advanced all-porcelain restorations with no metal or mercury when restoring your entire dentition. In addition, Dr. Schindler will aesthetically develop the lower third of your face to your facial golden proportions. This process has also been called a Non-surgical Facelift. For optimal care, comfort and precise treatments, Dr. Schindler reserves the entire morning or full day exclusively for you during your restorative visits.

Rejuvenating your teeth with full mouth porcelain restorations will provide you with a new, brighter, straighter, healthier smile with an overall youthful facial appearance. Ultimately, Full Mouth rejuvenation creates a healthy mouth allowing you to keep your teeth for a lifetime which will have a wonderful impact on your overall quality of life.

Common problems associated with a failing oral environment

  • Self-conscious of smiling
  • Low self-esteem
  • Difficulty with speech
  • Feeling unhealthy
  • Periodontal (gum) disease
  • Collapsed bite (face is shrinking)
  • Decayed & broken teeth
  • Severe enamel wear
  • Gum recession
  • Missing teeth
  • TMJ symptoms (pain)
  • Difficulty chewing
  • Severe thinning, fracturing and erosion of enamel
  • Old, failing, mismatched restorations (crowns, bridges, onlays, veneers, etc.)
  • Generalized teeth pain: chronic to acute
What You Can Achieve

Dr. Schindler gives you even more than a beautiful smile!

  • Icon of crown
    • Renewed confidence and success

    • Handsome or beautiful new smile

    • Look at least 20 years younger

    • Perfect symmetry and matching natural color

    • Non-surgical facelift on the lower third of face between your nose & chin

    • Fully restored healthy and pain-free teeth
  • Icon of  arrow
    • Feel better- reduction in TMD symptoms

    • Fully restored optimal & healthy occlusion (bite)

    • Superior chewing function to enjoy eating and meals with family and friends

    • Improved airway and overall health

    • Improved speech

    • Better quality of life
Photo our smiling patient
Quote marks
Treating all my teeth with Full Mouth porcelain restorations was one of the best decisions I have ever made. It has completely transformed my life."
Our patient together with his wife are smiling
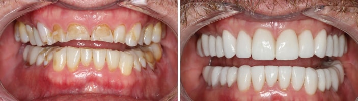
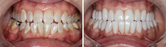
Full Mouth Rejuvenation cases by Dr. Schindler
Before & After.
Smile of our patient
Smile of our patient
Smile of our patient
Smile of our patient
Smile of our patient
Smile of our patient
Smile of our patient
Smile of our patient

Discover Our
Guests' Transformations

Real smile makeover experiences at Schindler Smile Studio.